4.9
回購率99%的化痰特效藥!用戶好評達到98%!純中藥萃取,快速見效,無副作用!
商品介紹
百病多是痰作怪
一粒丸—救活百萬患者
它是怎麼做到的?

注意:本產品已經三軍總醫院、臺北榮民總醫院等多家權威機構臨床驗證:對惡重頑固性咳喘老病具有獨特療效,一般患者服用當天即能明顯消除或緩解劇烈咳嗽哮喘、胸痛胸悶氣短、呼吸困難等症狀;10 —15天,粘痰、膿痰咳出咳血完全消失,絕大部分患者短短一個月即臨床康復,堅持鞏固治療60天以上,幾年、幾十年的老咳喘病都能得以康復。

從權威醫院→世界衛生大會→國際醫學批准生產的有效產品,大會見證!
(橘紅顆粒)明確治療:您的老慢支、老哮喘、肺氣腫、肺心病等各種咳喘疾病;
消除咳嗽、咯痰、咯血、胸悶氣短、呼吸困難、哮鳴者、
憋氣乏力、心慌氣短、夜不能睡、呼吸衰竭等症狀;
讓您呼吸順暢,不怕天涼、油煙、過敏,能跑步游泳、下廚房、睡好覺,
省下上萬元醫藥費,一生不復發,重享健康幸福生活!

很多人對它的療效還存有疑惑~今天鐵錚錚的治愈案例擺在你面前,不服不行!
▽▽▽
咳嗽「快咳出血來」還好有橘紅顆粒,讓我呼吸順暢
劉小姐是一名教師今年55歲 十分重視養生 平時都有參加晨跑活動,但最近半年裡,我在校內上下樓梯時,發現會有點喘不過氣,晚上睡覺時也開始會咳嗽,直到上個月咳到不像話「快咳出血來」甚至得坐著睡覺才能入眠,就醫檢查才發現是「肺積水」惹的禍,但是吃了很多藥也沒有任何的改善,反而越來越嚴重,夜夜難以入眠...一活動就喘不過氣,不願意下床,無法外出,有時還依賴呼吸器。為治這病花了不少錢,女兒回家時候帶回來了這個咳喘珍稀藥(橘紅顆粒)說是興許能徹底治好我的「肺積水」。我每天堅持服藥,沒想到這個藥效如此強,三四天就感覺呼吸均勻多了,用了一個週期病情就得到極大好轉,夜裡也能入睡了。兩個週期後肺積水徹底好了,不會一活動就喘不過氣來,現在的我呼吸也越來越順暢,胸痛,浮腫、心率加快,心律不齊的症狀明顯改善。睡眠質量提高了,人精神了很多。


一次根治老咳喘疾病,每年不再复發
蔣先生患有多年的慢性咽炎,剛開始只是嗓子疼,癢,以及輕微的咳嗽。後來經過西藥治療以後,症狀基本不再明顯,就沒有太過在意。但是我真的小看了咽炎的危害性和頑固性,接下來我每年都要反复的發作幾次,一次比一次嚴重,治療上也從吃藥變成了打針,輸點滴。治療效果真的是越來越差。症狀也越來越嚴重。後來,我的嗓子已經變得非常沙啞,而且咳嗽特別嚴重,尤其是晚上,幾乎每天都要因為咳嗽而睡不著覺。還有強烈的異物感,總感覺有東西卡在裡面。後來醫師建議我手術治療,接著第二天就給我安排了手術。手術完以後確實好受了很多,本以為以後不用再受這個罪了,誰知道還沒過半年,咽炎就又再次發作了,而且比上次更嚴重。正在我們一家都在為我的病犯愁的時候,大學同學推薦我服用(橘紅顆粒)調理了一個週期以後,發現胸悶、憋氣大大好轉;咳嗽少了痰液也變清了,第二個週期的用完了以後,我的多年老咽炎終於沒有了任何的症狀,我又重新找到了健康的感覺。


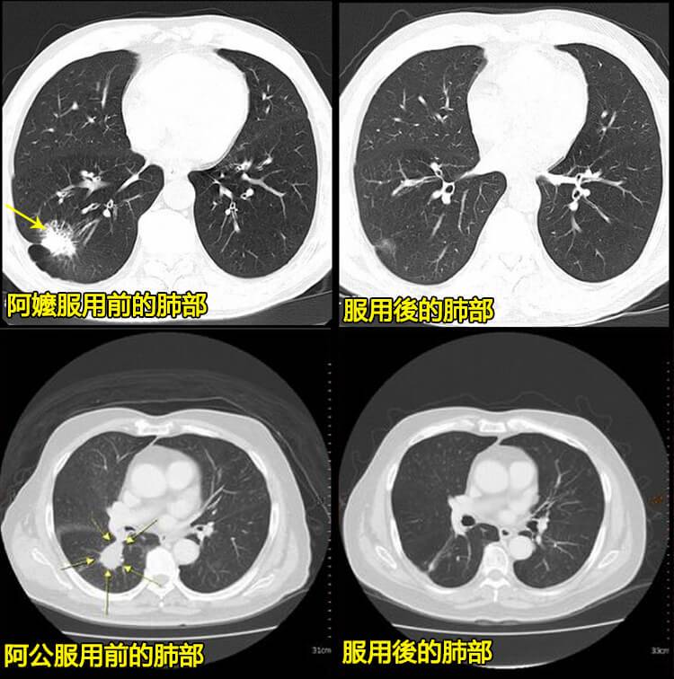
哮喘斷了根 血壓變平穩
我家75歲的阿嬤是個老哮喘患者,最開始吃西藥也能控制住,但就是不能乾重活不然咳喘的特別厲害。可一遇到變天或感冒阿嬤就咳得特別厲害、胸口憋得難受接不上氣;晚上睡覺不能平臥血壓還忽高忽低。去年夏天,阿嬤從報導上瞭解到(橘紅顆粒)是專業止咳平喘的中藥丸安全無副作用。且還有夏治咳喘冬不再犯的優勢,她當即就購買了3階段。效果可真明顯,阿嬤服用當天咳嗽明顯減少;氣管很舒暢;連續服用3個階段後不再有胸悶、心慌的感覺,不咳不喘,肺功能也恢復正常了血壓也平穩了。還有我的阿公是個老煙民了,經常咳嗽、吐痰看到阿嬤服用(橘紅顆粒)有效果後現在也用上了,服用後,阿公也沒再咳嗽了。


用過【橘紅顆粒】的患者不斷發出感嘆……
■ 折磨了3年的老慢支,一動就喘,走路都吃力,用了(橘紅顆粒)
就像給肺腑全都洗淨了,短短1個半月,我能和鄰居一起跳廣場舞了;
■ 一到半夜咳個不停,頭昏腦漲睡不好,沒想到,吃上這(橘紅顆粒)
當晚一聲沒咳,醒來這個舒坦;
■ 總有痰卡在氣管,上不來下不去,多虧了(橘紅顆粒)
吃了1星期,從沒感覺嗓子氣管這麼透亮,老伴說我現在說話都中氣十足的……

響應:已有37萬人響應結核暨肺部疾病醫學會提倡的“防治咳喘、
就用“橘紅顆粒”的活動,其中不乏有醫師教授級人物!
∇ ∇ ∇
羅東博愛醫院執行長許豪與緯創醫學科技總經理黃俊東積極響應中,
肺部疾病都可選用橘紅顆粒

2022終結肺病,告別咳喘,醫師的支持,國人的康復案例一次次驗證了它的奇效!

根據權威醫學期刊報導:全台20歲以上的老咳喘人數已經達到四百萬人次,
然而真正得到有效控制的人數只佔22%
發作時用噴霧,不咳不喘就好了,這讓大部分人以為症狀消失了病情就不會進展。
殊不知如果不根治,炎症對氣道的改造每時每刻都在發生。
據不完全統計,全台每年大約有157萬人因長時間老咳喘導致支氣管壁狹窄痙攣、無法呼吸,窒息而死。雖然早期老咳喘發作的時候支氣管不會發生肉眼可見的改變;
但當反復發作日久,支氣管或細支氣管內形成的粘液栓,會造成氣道水腫、末端微血管通透性增加,患者表現為反复咳嗽喘息,並且進行性加重;
同時抗原不斷興奮膽鹼能神經,使支氣管平滑肌反複收縮痙攣,
氣道就會出現代償性增厚,變得狹窄,致使機體呼吸困難。
咳得眼冒金星、肩酸肋痛、涕淚橫流
喘得抓心撓肺、胸悶憋氣、渾身發軟
經常痰堵喉嚨、不吐不快、吐之不盡
◇◇◇
如果你有上述情況,請一定盡快服用(橘紅顆粒)幫助你止咳平喘,呼吸順暢
為什麼(橘紅顆粒)能夠製造咳喘奇蹟
(橘紅顆粒)神奇的地方就是因為它有(化死痰)的效果!將氣管和肺泡內的死痰,都化成水,排除體外,咳喘病自然好了,而且不再复發
死痰是咳喘疾病反復發作的根源。
當死痰黏在氣管、支氣管時,患者出現氣管刺癢、咳嗽、痰咳不出、吐不淨、
喘氣像拉風箱一樣的呼哧呼哧的響,以及睡覺不能平躺等症狀。
當死痰蔓延到肺部深處,粘在肺泡上時,肺泡就會破裂,氣體交換受阻,
人體開始缺氧,出現氣憋胸悶、面唇紫暗等,若死痰還不能及時清除,
就會進而造成肺部動脈高壓,導致肺心病,患症狀者可能隨時猝死!
獨門喘藥,因為它有化死痰的效果! 60天快速治好老咳喘,保證不再復發。

橘紅顆粒)三個方面能徹底根治各種咳、喘、肺疾病
1.清肺毒 本品草本成分進入體內,集中包裹呼吸道及肺部各種細菌病毒,將其排出體外,恢復正常氣體代謝淨化整個呼吸系統。

2.修粘膜 草本成分還可利用其獨有的活化功能促進呼吸道粘膜細胞再生,
修復粘膜組織,再造天然屏障,防止二次感染。

3.養護肺 並且深入滋養肺泡細胞,增強肺部通氣能力,重建呼吸系統免疫功能,
有效防止咳喘肺部疾病復發~並且還能康復身體所有疾病。想預防新冠的朋友更不可錯過!
急診科醫師強烈推薦,千萬不要小看呼吸道阻塞,或造成肺炎、休克等嚴重後果!
家有老人孩子,建議常備【橘紅顆粒】

在全球肺癌記者會上,被專家們重點提名為——拔除肺癌橘紅顆粒
早在2009年,國醫董延齡就親自參與【橘紅顆粒】的研製,
董國醫就稱它是『治未病良方』,快速化痰,避免引發更大的疾病
董醫師指出多個痰多的原因:
第一,體質虛弱,中氣不足,由於脾虛不運,易使水濕停留,凝聚為痰。
第二,脾胃薄弱,宿滯逗留,損傷脾胃;或恣食生食、瓜果,中陽被傷;
第三,或因熱病飲水過多,脾運不及等等都可以使水濕停留,聚集為痰。
第四,還有恣食肥甘,胃中濁氣鬱蒸,釀濕生熱也可以化為痰濁

董醫師的中醫師團隊從《神農本草經讀》中獲取化橘紅化痰配方,添加其餘14種中藥,提升化痰效果,研製出這款橘紅顆粒




鑒於【橘紅顆粒】的化痰特效,中醫師公會聯合推薦,
建議民眾常備這款化痰藥,以備不時之需
回購率99%的化痰特效藥!
用戶好評達到98%!純中藥萃取,快速見效,無副作用!




| ·購物流程 | |
|---|---|
|
| |
| ·退換貨流程 | |
|
● 收到商品之日起7天內,在不影響二次銷售的情況下,我們提供退/換貨服務;您可以聯繫網頁客服或郵件 提交退/換貨申請。
|